Karen P. Meyers, DDS

Birmingham, MI

1875 Southfield Rd, Birmingham, MI  48009
Phone: 248-646-2450
Experience Excellence in Dental care

  • Home
  • About
    • Dr. Karen Meyers
    • Our Team
    • Testimonials
  • Services
    • Preventive Dentistry
    • Fillings
    • Tooth Whitening
    • Crowns, Caps and Bridges
    • Implants
      • Implant Supported Bridges, Partials and Dentures
    • Veneers
    • Childrens’ Dentistry
    • Sealants
    • Clear Correct® Clear Braces
    • Partials and Dentures
    • Extractions
    • Root Canal/Endodontic Treatment (Referred)
  • Forms
  • Resources
  • Blog
  • Gallery
    • Smile Gallery
    • Office Photos
  • Contact

Smile Gallery

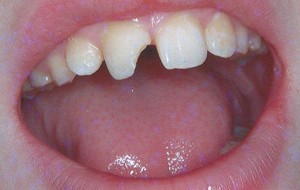
BEFORE

Congenitally missing permanent front tooth & mis-shaped adjacent toothCongenitally missing permanent front tooth & mis-shaped adjacent tooth
Broken front toothBroken front tooth
Porcelain/metal crowns (caps) that are opaquePorcelain/metal crowns (caps) that are opaque
Congenitally missing permanent lateral incisorsCongenitally missing permanent lateral incisors
Older chipped and decayed veneersOlder chipped and decayed veneers
Discolored and decayed composite restorationsDiscolored and decayed composite restorations

AFTER

Implant and implant supported veneerImplant and implant supported veneer
Repaired with composite restorationRepaired with composite restoration
All-porcelain crowns (caps) that are more translucent and life likeAll-porcelain crowns (caps) that are more translucent and life like
Implant supported porcelain crownsImplant supported porcelain crowns
New porcelain veneersNew porcelain veneers
New all porcelain crownsNew all porcelain crowns
  • Blog
  • Dr. Karen Meyers
  • Testimonials
  • Gallery
  • Our Team

To schedule an appointment please call us 248-646-2450.

New Patient Packet (PDF)

Hours

Monday: 9:00 AM – 5:00 PM
Tuesday: 9:00 AM – 5:00 PM
Wednesday: Closed
Thursday: 8:00 AM – 4:00 PM
Friday: By appointment only
Saturday: By appointment only
Sunday: Closed

Our Location


View Larger Map

Contact Information

Karen P Meyers, DDS 
1875 Southfield Road, Birmingham, MI  48009

Phone: 248-646-2450

Connect With Us

  • Facebook

Copyright © 2026 Karen P. Meyers, DDS